Маленький боец: 8-месячный ребёнок против краснухи в Туркестане

Введение
Недавний случай в Туркестане вновь привлёк внимание к вопросам безопасности детей и медицинской помощи. В инфекционное отделение Туркестанской городской центральной больницы был доставлен 8-месячный ребёнок с подозрением на краснуху. Однако, проведённое рентгенологическое исследование выявило неожиданную причину ухудшения состояния малыша.
Обнаружение инородного тела
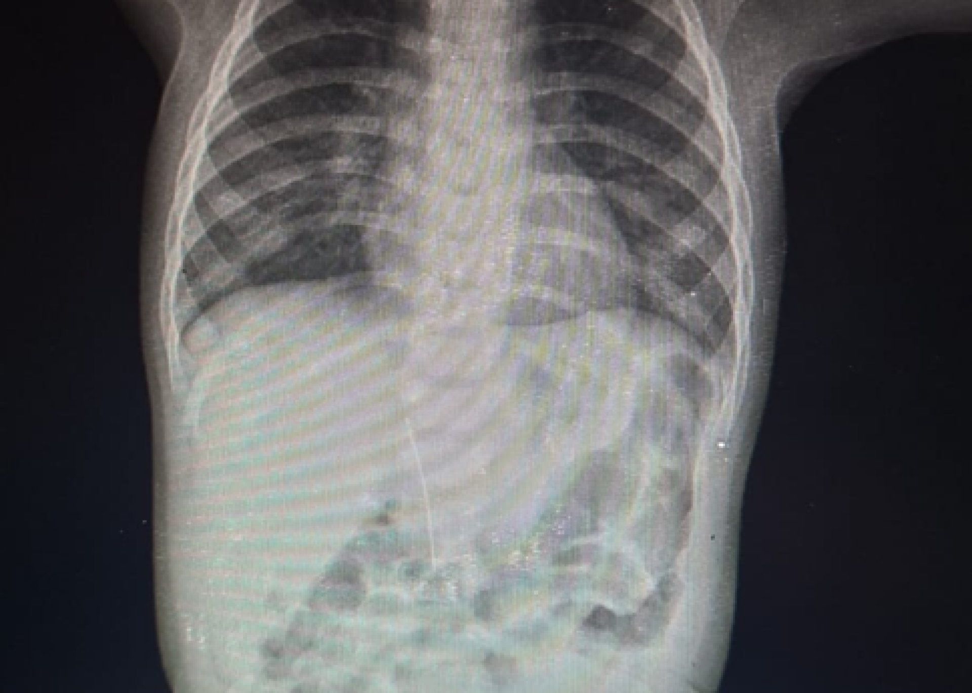
В ходе обследования врачи обнаружили в брюшной полости ребёнка иглу. Это открытие стало шокирующим, так как беспокойство и повышение температуры тела ребёнка были вызваны не инфекционным заболеванием, а воздействием инородного предмета.
Метод проникновения иглы
- Игла не попала в организм через пищеварительный тракт.
- Проникновение произошло со стороны печени.
- Мать ребёнка отметила, что малыш не мог самостоятельно проглотить иглу.
Медицинские меры
В ответ на данную ситуацию, врачи Туркестанской городской центральной больницы вместе с Туркестанской детской городской больницей провели экстренную операцию и все необходимые лечебные мероприятия. На данный момент, по информации ведомства, состояние ребёнка улучшается.
Сравнение с другими случаями
Этот случай не является единичным. Ранее в детскую клиническую больницу Шымкента с сильными болями в животе был доставлен 3-летний ребёнок, у которого медработники обнаружили 16 проглоченных магнитов. После соответствующих медицинских обследований была проведена экстренная операция по удалению инородных тел с помощью эндоскопического грассера.
Выводы
Эти инциденты подчеркивают важность бдительности родителей и необходимости обеспечения безопасной окружающей среды для детей. Врачи продолжают следить за состоянием здоровья мальчика, и надеемся на его скорейшее восстановление.

Фото предоставлено управлением здравоохранения региона