НДКТ-скрининг: эффективный метод диагностики агрессивного рака легкого

Эффективный метод диагностики рака легкого
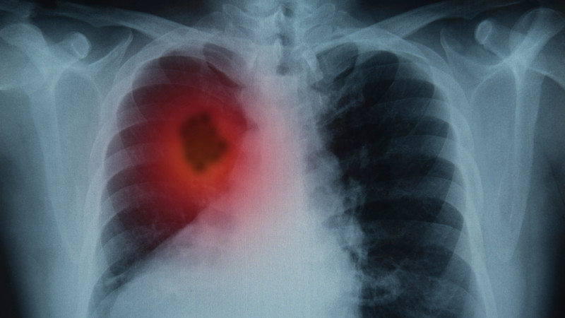
Рак легкого представляет собой одно из самых агрессивных онкологических заболеваний. Однако благодаря НДКТ-скринингу, который способен выявить заболевание на ранних стадиях, можно спасти миллионы жизней. Об этом в интервью рассказал профессор и заслуженный врач Петр Яблонский.
Сложности в выявлении рака легкого
Профессор Яблонский пояснил, что трудности в диагностике рака легкого связаны с отсутствием нервных окончаний в нижних отделах дыхательной системы. Это означает, что заболевание может долго оставаться бессимптомным. Нередко пациенты списывают такие симптомы, как кашель или усталость, на простуду или возрастные изменения.
"Без лечения медиана выживаемости у больных даже на первой стадии составляет всего около 16 месяцев. А у нас 43 процента новых случаев выявляется уже на четвертой стадии", - отметил главный торакальный хирург Минздрава России.
Преимущества ранней диагностики
По словам профессора, медицинское сообщество активно поддерживает внедрение низкодозной компьютерной томографии (КТ) для скрининга. Если рак легкого обнаруживается на первой стадии, пятилетняя выживаемость пациентов составляет от 92 до 98 процентов.
Исторические данные о скрининге
Положительный эффект от скрининга был установлен еще в 1990-х годах. Исследования показали, что среди курильщиков старше 50 лет смертность от рака легкого снизилась на 25 процентов благодаря раннему выявлению.
С более поздними исследованиями была подтверждена еще большая эффективность метода, что позволило сократить смертность от данного заболевания вдвое.